Babesiosis bovina
Tambien conocida como fiebre de la garrapata, fiebre de texas, agua roja, malaria bovina, piroplasmosis.
Es una enfermedad febril caracterizada por anemia, la cual es causada por protozooarios del genero Babesia, parasitos de la sangre (hemoparasitos) cuya característica patológica es la lisis de eritrocitos, los cuales conducen a anemia, ictericia, hemoglubinuria y la muerte de no ser tratada a tiempo, estos protozooarias son transferidos al animal mediante la picadura de las garrapatas.


Agentes etiológicos
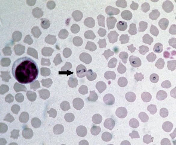
- Babesia bigemina: En comparación con la B. bovis esta es de mayor tamaño, para identificarla a la hora de ver el frotis sanguíneo, veremos un par de corpusculos en forma de pera unidos por su parte inferior formando así un angulo dentro del eritrocito maduro, también podremos observar formas redondas que son de menor tamaño y otras en forma alargada que van desde 4 a 5 micras.
- Babesia bovis: Pequeña y pleomórfica, se observa en el frotis como un solo y pequeño corpúsculo redondo o como dos pares de peras unidos por un angulo obtuso dentro de un eritrocito maduro.
Hospedador
Bovino
Vector
Rhipicephalus micropolus (garrapata)Epidemiología
Distribucion mundial
Trasmisión
Biologica.Patogenesis
Por la picadura de la garrapata, entra la Babesia específicamente a los eritrocitos, una vez en el eritrocito el parásito se divide por fisión binaria y luego se desprende de ese eritrocito para infectar a otro eritrocito y cuando se desprende causa la lisis del eritrocito, ocurre una hemólisis intravascular porque destruye a los eritrocitos dentro del torrente sanguíneo y también una hemólisis extravascular como en el caso del tripanosomosis por eritrofagositosis y y autoanticuerpos en sistema fagocitico mononuclear, como consecuencia hay disminución del hematocrito y de la hemoglobina causando anemia, ocurre una anoxia tisular y efectos patológicos secundarios.
Manifestaciones clínicas
Severidad dependerá de:- La edad la que los animales joven son mas resistente que los animales adulto.
- También se a estudiado la resistencia de algunas razas, tales como las razas Cebú.
- La virulencia y dosis.
Periodo de incubación
- B. bigemina: 8-13 dias
- B. bovis: 18-21 dias
Signos clínicos
- Disminución de apetito
- Depresión
- Deshidratación
- Debilidad
- Alteración en producción de leche y carne
- Temperaturas entre 41-42 grados y prolongada de 2-7 días
- Mucosas pálida
- Anemia (hematocrito 10-20%Leucopenia y trombocitopenia
- Pelaje aspero y opaco
- Fasciculaciones
- Diarrea y constipación
- Atoniaruminal
- Posible aborto
- Muerte
La babesiabovis es mas pequeña que la bigemina lo que la hace capaz de atravesar la barrera hematoencefálica y causar signos nerviosos
Si el animal muere en la fase inicial de la infeccion, observaremos los pulmones edematosos y congestionado
Saco pericardico con contenido serosanguineo
Hemorragias subepicardicas y subendocardicas de tipo petequial
Hepatomegalia con ictericia y vesícula biliar puede mostrar hemorragias en la superficie de la mucosa, a demas de estar distendida con bilis gruesa de color verde oscuro
Esplenomegalia muy marcada, con consistencia pulposa y obscura
Abdomen y mucosa intestinal ictéricos y con focos hemorragicos en subserosa.
Sangre delgada y acuosa.
Vejiga distendida con contenido de orina oscura de color rojo café.
Ganglios sanguíneos edematosos y con petequias
Lesiones a observar en fase de infecciones crónicas:
Hallazgos de necropsia
Lesiones a observar en la fase aguda de la enfermedad:
Lesiones a observar en fase de infecciones crónicas:
Tratamiento
Si se realiza el diagnostico temprano de la enfermedad en la explotación se garantiza un mayor éxito a la hora de realizar el protocolo terapéutico. Los dos principios activos mas utilizados contra esta enfermedad son el Diminaceno a dosis de 3,5 mg/kg el cual puede administrarse subcutáneamente o intramuscularmente en dosis única y El Imidicarb a dosis de 1,2 mg/kg también dosis única.
SSi desea aportar algo mas acerca del tema, o realizar alguna pregunta, no dude en hacerlas, serán bien recibidas.







EmoticonEmoticon